Магнитно-резонансная томография (МРТ) — это инновационное исследование, использующее сильные магнитные поля и радиоволны для создания подробных изображений внутренних органов и тканей человеческого тела. Расшифровка МРТ в https://secondopinions.ru/rashifrovka-mrt является важным этапом процесса диагностики и позволяет врачам точно определить состояние органов и выявить патологии.
Процесс МРТ: Во время процедуры МРТ пациент помещается внутрь тонкого трубчатого сканера, который создает мощное магнитное поле вокруг тела. Затем на тело направляются радиоволны, вызывающие резонанс атомов водорода в тканях. Эти сигналы регистрируются специальным аппаратом и преобразуются в изображения, которые могут быть интерпретированы врачом.

Расшифровка результатов:
- Структурные особенности: Врач анализирует структурные особенности органов и тканей, представленные на изображениях. Это может включать форму, размер, контуры и плотность тканей.
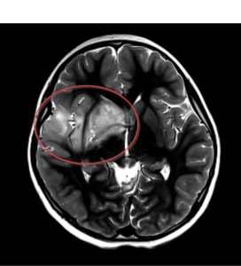
- Обнаружение патологий: МРТ позволяет выявить различные патологические изменения, такие как опухоли, воспалительные процессы, травмы и деформации. Врач оценивает характер этих изменений и их влияние на здоровье пациента.
- Оценка состояния тканей: С помощью МРТ врач может оценить состояние различных тканей, включая мягкие ткани, кости, суставы и сосуды. Это позволяет выявить дегенеративные изменения, дисплазии, аномалии развития и другие патологии.
- Функциональные аспекты: Некоторые исследования МРТ могут оценивать функциональную активность органов, таких как мозг или сердце, путем изучения кровотока, активации определенных областей и других параметров.
Важность расшифровки: Расшифровка МРТ в secondopinions.ru играет ключевую роль в определении диагноза, разработке лечебного плана и оценке эффективности терапии. Точное и компетентное понимание результатов МРТ позволяет врачам принимать обоснованные решения относительно дальнейшего лечения и обеспечивает пациенту наилучшее качество здравоохранения.
Преимущества расшифровки МРТ:
- Точное выявление патологий: Расшифровка МРТ обеспечивает точную диагностику патологий, включая опухоли, воспалительные процессы, травмы и другие изменения, которые могут быть незаметны на других типах обследования.
- Детальное изучение тканей: МРТ позволяет детально изучить различные типы тканей, включая мягкие ткани, кости, суставы, органы и сосуды, что делает его важным инструментом для выявления дегенеративных изменений и аномалий развития.
- Оценка функциональных аспектов: Некоторые исследования МРТ могут оценивать функциональную активность органов, таких как мозг или сердце, и определять кровоток, активацию определенных областей и другие параметры, что помогает выявлять изменения до появления явных симптомов.
- Индивидуализированный подход к лечению: Расшифровка МРТ позволяет врачам разрабатывать индивидуализированные лечебные планы, учитывая конкретные особенности и патологии каждого пациента, что способствует эффективному лечению и максимальному восстановлению.
- Контроль эффективности терапии: Повторные МРТ-исследования позволяют оценить эффективность лечения, контролировать динамику заболевания и корректировать лечебные стратегии в соответствии с результатами, что является ключевым элементом в управлении здоровьем пациента.
- Безопасность и комфорт для пациента: МРТ не использует ионизирующего излучения и обычно не вызывает неприятных ощущений, что делает процедуру безопасной и комфортной для большинства пациентов.
В итоге, расшифровка МРТ является неотъемлемой частью процесса диагностики, предоставляя врачам ценные исследовательские данные для принятия обоснованных решений по лечению и управлению здоровьем пациентов
Как вам статья?
