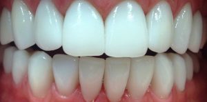
Циркониевые коронки представляют собой один из наиболее передовых и востребованных вариантов зубных коронок в современной стоматологии. Обладая рядом уникальных преимуществ, они становятся предпочтительным выбором как для пациентов, так и для стоматологов. Давайте рассмотрим основные преимущества циркониевых коронок.

Основные преимущества циркониевых коронок:
- Естественный Внешний Вид: Циркониевые коронки изготавливаются из биокомпатибельного материала, который имеет светопропускающие свойства, близкие к естественным зубам. Это позволяет достичь высокой степени эстетичности, так как коронка практически неотличима от остальных зубов.
- Прочность и Долговечность: Цирконий является одним из самых прочных материалов, используемых в стоматологии. Коронки из циркония обладают высокой прочностью и долговечностью, что позволяет им служить длительное время без риска разрушения или поломки.
- Биокомпатибельность: Циркониевые коронки являются биокомпатибельными, что означает, что они безопасны для здоровья человека и не вызывают аллергических реакций или других нежелательных эффектов. Это делает их подходящими для пациентов с различными аллергиями и чувствительностями.
- Простота Изготовления: Циркониевые коронки изготавливаются с использованием компьютерной технологии CAD/CAM (Computer-Aided Design/Computer-Aided Manufacturing), что обеспечивает высокую точность и качество каждой коронки. Этот процесс также позволяет быстро изготавливать коронки, сокращая время ожидания для пациентов.
- Минимальная Подготовка Зуба: Для установки циркониевой коронки требуется минимальная подготовка зуба, поскольку материал имеет высокую прочность и может быть изготовлен в тонких слоях. Это позволяет сохранить больше естественной ткани зуба и снижает риск повреждения зуба в процессе подготовки.
Циркониевые коронки представляют собой передовое и эффективное решение для восстановления поврежденных зубов. Их высокая прочность, эстетичность и биокомпатибельность делают их идеальным выбором как для пациентов, так и для стоматологов, стремящихся обеспечить своим пациентам оптимальное качество лечения.
Как вам статья?
